Full Mouth Restoration and Reconstruction

full mouth reconstruction port washington ny long island

What Can Patients Expect from a Full Mouth Restoration?

There are many components to the human mouth and each of these must work together in harmony for good oral health and proper function. When one of these components is damaged, malformed or unhealthy, the overall health and normal function of the mouth can become compromised. Since the mouth is the gateway to the body, taking care of it is a must.

When there are multiple oral health issues in place, individuals have the option of seeking a full mouth restoration. With a full mouth reconstruction performed by our experience cosmetic prosthodontist dentists here in Port Washington, individuals can see improved function and a greatly improved smile appearance. If your smile does not function properly or you have multiple cosmetic concerns that are making you feel embarrassed about the appearance of your smile, a smile makeover is an option for treatment.

According to The American Dental Association:

If you are interested in dental implants or full mouth reconstruction, it’s a good idea to discuss it carefully with your dentist first. If you are in good general health this treatment may be an option for you. In fact, your health is more of a factor than your age. You may be medically evaluated by a physician before any implant surgery is scheduled.

What Is a Full Mouth Restoration / Construction?

With so many different components of a smile, it stands to reason issues can arise. Whether a person is born with abnormalities and oral health concerns or they develop over time, a full dental reconstruction is beneficial. With this process, individuals can ensure all of their dental needs will be taken care of properly, whether they be cosmetic or functional in nature.

Reconstructive dentistry involves multiple procedures and treatments that are carried out in succession, to improve the function and appearance of a person’s smile. Although each of these treatments can be performed alone, multiple issues with a person’s smile will likely require a full mouth restoration. The following are some of the treatments involved in a smile makeover.

  • Replace missing teeth
  • Repair teeth that have been damaged
  • Correct the jaw alignment
  • Treat gum disease
  • Treat oral diseases
  • Replace older dental work

There are several branches of prosthodontal dentistry involved in a smile makeover. The steps involved are carried out precisely to ensure the final result offers better function and a brilliantly beautiful smile. The following are involved in the reconstruction.

  • Implant dentistry
  • Cosmetic dentistry
  • Restorative dentistry
  • Neuromuscular dentistry
  • Orthondontics
  • Bruxism therapy

Some individuals may only need a couple of these services, while others may require multiple procedures to ensure their smile is made whole again. Each and every smile transformation process is custom-made for the unique needs of the patient. There is no one-size-fits-all approach that can be offered by our local Port Washington dentists.

While a smile reconstruction and makeover will use some of the same types of dental procedures for correction, they are carried out for different reasons. A makeover is done for mostly cosmetic reasons while reconstruction is carried out to return normal function to the mouth. Typically, reconstructions are more involved and require a lengthier process to accomplish.

Full Mouth Restoration / Reconstruction Process

The first step in the process is to schedule a comprehensive examination by our prosthodontist. During this examination, your dentist will carefully check the condition of the teeth, gums, and jawbone. All of the components of the mouth will be checked for signs of damage, malformation, or disease.

The dentist will make note of any cavities, tooth damage, or loose teeth. They will check all dental appliances to see if they need to be replaced. The dentist will determine if their patient will need any crowns, veneers, inlays, onlays, or bridges. The way the teeth align and how the jaws meet will also be noted, so the dentist can determine if any orthodontic intervention will be needed. It often takes a concerted and combined effort to get the best final results.

The gums will be carefully examined to check for any signs of gum disease. When the health of the gums is deteriorating, the teeth will not be healthy and could be lost. When pockets of infection develop, tooth loosening often occurs. As a part of the smile makeover, gum disease must be treated if it is present.

The temporomandibular joints will be checked for wear and tear. A stable bite is crucial for preventing uneven wearing of the teeth and for preventing pain while biting and chewing. In some cases, surgery is necessary to replace the joints when they become overly worn. Dental appliances can also be used to ease discomfort and correct the alignment.

Aesthetics is a big part of a full mouth restoration. Everyone wants to have a beautiful smile they can feel confident showing off. The size, shape, and color of the teeth can be modified with various dental treatments. The dentist will check the appearance of the teeth and how they match with the gums and lips. Aesthetic changes can be made in many ways to bring about a more beautiful smile.

Aside from a full examination, the dentist will take X-rays, make impressions, and take photographs. These play a big part in charting the treatment plan for the restoration process. The dentist will take all of the garnered information into account when deciding on the right methods of treatment. Those who are wondering how long does the process take will find answers to their questions at the consultation.

Is Full Mouth Reconstruction / Restoration Painful?

Aside from wondering about the price and the length of time involved, many people are concerned about feeling pain. With today’s advancements in dental care, procedures are more comfortable than ever before and healing times are greatly reduced.

Using sedation dentistry, individuals can be kept comfortable at all times, so their procedure can be carried out with as little discomfort as possible. Most people are able to continue their normal routine as they go through the steps involved in a full mouth restoration.

How Much Can a Full Mouth Restoration Cost?

There are many factors that will determine the price of a full mouth restoration. Obviously, the more treatments that are needed, the higher the cost. Many people who go through smile restorations will need work done to every tooth in the mouth.

Prices vary across the nation and depending on the dental office, and most cases are unique and customized to each of our dental patients. Some of the cost of the treatments may be taken care of by the patient’s dental insurance plan. In most cases, insurance will pay for some costs that are necessary for protecting the health of the mouth and restoring function. Dental insurance typically does not pay for any cosmetic dental treatments unless the patient has purchased a special plan.

For those who are concerned about the cost of a smile reconstruction, inquire with our dental office regarding payment plan options that can help to ease the financial burden. Before a patient becomes overly concerned about the cost, they should first discover their options, so they can learn about the steps that will need to be taken.

How Long Can I Expect the Mouth Restoration Process to Take?

The smile reconstruction process varies from patient to patient. These restorations are tailored to each patient. Most individuals will need more than one treatment, depending on the severity of their functional and cosmetic dental concerns.

The vast majority of 3V Dental’s full mouth restoration patients should plan on their reconstruction or makeover taking about one month. From that point, our dental team just needs to make adjustments to ensure you’re comfortable with your new smile. Orthodontic and surgical interventions can increase the time it will take for the process to be complete.

Patience is important because the steps can sometimes seem slow in the process, but each one is bringing an individual closer to their desired end result.

Once your dentist has drawn up the plan of care for their patient, they will be better able to tell how long the process will take. Although it can be lengthy, most people do not mind the wait times because they know their smile is going to look amazing. Simply viewing the before and after photos gives people the drive to keep going towards reaching their goal.

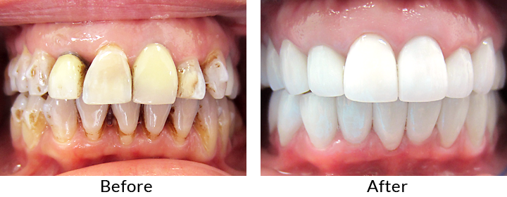
Full Mouth Reconstruction / Restoration Before and After

full mouth reconstruction port washington ny (1) full mouth reconstruction port washington ny (1)

3V Dental Can Make Your Smile Beautiful

Tired of looking in the mirror and being embarrassed about your smile appearance? Do you have oral health issues that are causing you pain and making eating and talking uncomfortable? With a consultation mouth restoration appointment, you can learn about the latest advancements in dental technology that can allow your entire smile to be overhauled. Not only will you experience better function and the protection of your oral health, but you will also see your smile completely transformed.

If you are ready to experience a more functional and beautiful smile than you ever thought was possible, give our Port Washington office a call today and schedule your appointment. At your consultation, you will learn about your treatment options, the price, and what you can expect from the process.

We love seeing smiles transformed and once you have your smile makeover carried out, you will not be able to stop smiling at the world. Allow us to show you what can be done with our extensive before and after photos of fully satisfied patients.

Categories

All Posts

Full Mouth Restoration and Reconstruction

full mouth reconstruction port washington ny long island
Scroll to Top